Медицинское оборудование и сервисное обслуживание
УЗИ аппарат Esaote MyLab Sigma
УЗИ аппарат Esaote MyLab Sigma
Esaote
Esaote
УЗИ аппарат Esaote MyLab Sigma
УЗИ аппарат Esaote MyLab Sigma
УЗИ аппарат Esaote MyLab SigmaУЗИ аппарат Esaote MyLab Sigma
Характеристики
Страна производства
Китай
Бренд
Esaote
Тип
Портативный
Класс аппарата
Высокий класс
Все характеристики
Портативный УЗИ-аппарат высокого класса
Все описание
0
В наличии
В корзине
Бесплатная доставка даже в самые крайние точки России
Гибкие условия оплаты (trade-in, рассрочка, лизинг)
Монтаж и ввод в эксплуатацию оборудования «под ключ»
Гарантия на оборудование до 3-х лет
Обзор

MyLab Sigma — новейший портативный УЗИ-аппарат от итальянской компании Esaote; это универсальное устройство, которое незаменимо для экстренной диагностики в любых условиях.

Преимущества

  • Легкая транспортировка для обследований в любых условиях;
  • Экран 15,6 дюйма с поворотом на 90° для комфортного просмотра изображений;
  • Четкие и детализированные изображения для повышения точности диагностики;
  • Подходит для различных специализаций и ультразвуковых исследований;
  • Удобная панель управления для легкости обучения и использования.
Датчики
  • E 3-12 — внутриполостной датчик;
  • L 4-15 — линейный датчик;
  • mC 3-11 — микроконвексный датчик;
  • IH6-18 — интраоперационный датчик;
  • L 3-11 — линейный датчик;
  • SB2C41 — объёмный конвексный датчик;
  • AC2541 — конвексный датчик;
  • SE3133 — внутриполостной  датчик;
  • SP2730 — секторный фазированный датчик;
  • SC3123 — микроконвексный датчик;
  • SL3332 — линейный датчик;
  • SL3323 — линейный датчик.
Принадлежности
  • Монитор — 15,6 дюйм 1920x1080;
  • Цветная сенсорная панель — 8,9";
  • Подключение к Wi-Fi;
  • Количество портов для подключения датчиков — 2 шт;
  • Ножная педаль и встроенный пишущий привод CD/DVD;
  • Жесткий диск — 500 Гб;
  • Панель управления с произвольным пространственным позиционированием;
  • Аккумуляторные батареи — на 60 минут работы.
Опции
  • Vascular Licence — пакеты расчетов и суммарные заключения для ангиологии, включая транскраниальные исследования;
  • Cardio Licence — пакеты расчетов и суммарные заключения для эхокардиографии, включая исследования в педиатрии и неонатологии;
  • TPView — технология «виртуального конвекса», расширяющая поле визуализации на всех линейных и фазированных датчиках;
  • MView — сложносоставное многолучевое сканирование;
  • VPan — панорамное сканирование;
  • XFlow — режим прямой визуализации элементов крови.
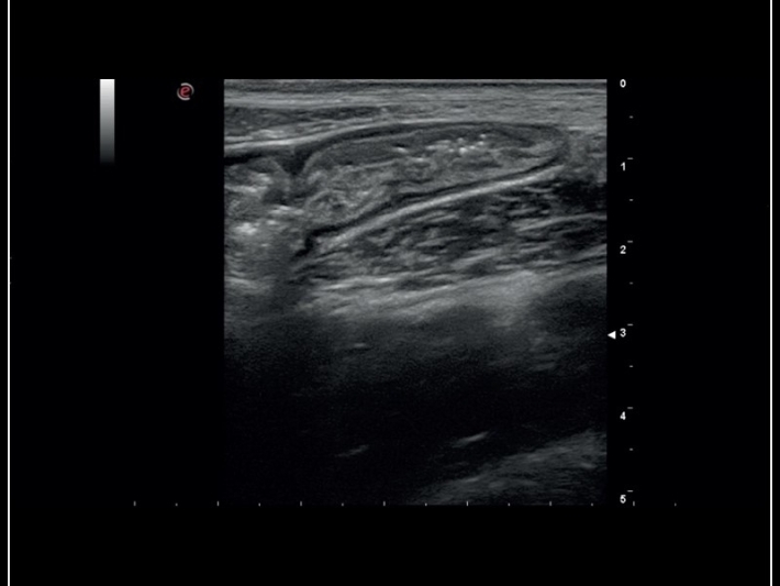
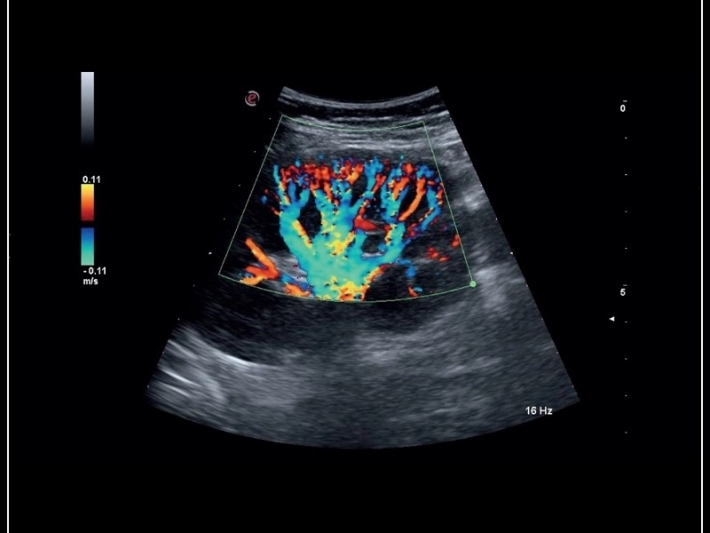
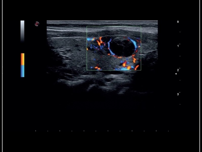
Изображения
Характеристики
Страна производства
Китай
Бренд
Esaote
Тип
Портативный
Класс аппарата
Высокий класс
Область применения
Универсальные, Кардиологические, Гинекологические, Педиатрические, 3D/4D акушерство
С этим товаром также покупают

Наши услуги

Монтаж и ввод в эксплуатацию
Монтаж и ввод в эксплуатацию
Оказываем весь спектр работ по монтажу и вводу в эксплуатацию, включая: инсталляцию, обучение врачей, настройку функционала УЗИ-аппарата и периферийного оборудования.
Техническое обслуживание
Техническое обслуживание
Производим диагностику и профилактическую чистку УЗИ-оборудования, а также комплексную программу технического обслуживания аппаратов и датчиков, общую настройку и обновление ПО.
Ремонт и восстановление
Ремонт и восстановление
Производим диагностику и ремонт УЗИ-аппаратов, датчиков и периферийного оборудования даже при нестандартных, сложных случаях.
Дистанционная техническая поддержка
Дистанционная техническая поддержка
Предлагаем услугу горячей линии — это удаленная техническая поддержка. В рамках данной услуги возможна диагностика и решение типовых проблемных случаев по телефону, в том числе по видеозвонку.
Апробация
Апробация
Предоставляем демонстрационную версию оборудования таких производителей, как Samsung, SonoScape, Mindray, General Electric, Canon (Toshiba) и Philips, что позволяет на практике оценить интересующую вас продукцию.