Медицинское оборудование и сервисное обслуживание
УЗИ аппарат General Electric Logiq E10
УЗИ аппарат General Electric Logiq E10
General Electric
General Electric
УЗИ аппарат General Electric Logiq E10
УЗИ аппарат General Electric Logiq E10
УЗИ аппарат General Electric Logiq E10УЗИ аппарат General Electric Logiq E10
Характеристики
Страна производства
Китай
Бренд
General Electric
Класс аппарата
Экспертный класс
Все характеристики
Стационарный УЗИ-аппарат экспертного класса
Все описание
0
В наличии
В корзине
Бесплатная доставка даже в самые крайние точки России
Гибкие условия оплаты (trade-in, рассрочка, лизинг)
Монтаж и ввод в эксплуатацию оборудования «под ключ»
Гарантия на оборудование до 3-х лет
Обзор

УЗИ-аппарат General Electric Logiq E10 представляет собой передовое решение для медицинских учреждений, предоставляя экспертный уровень диагностики и современные инструменты для эффективного обследования пациентов. С ним вы сможете повысить качество оказываемой медицинской помощи и удовлетворить требования современного здравоохранения.

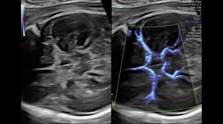
Высокое качество визуализации

  • Logiq E10 обеспечивает выдающееся качество изображений благодаря передовым ультразвуковым технологиям, что позволяет врачам уверенно ставить диагнозы;
  • Улучшенные алгоритмы обработки данных и высокая чувствительность цветового допплера создают четкие и детализированные визуализации.

Удобство и эффективность

  • Сенсорная панель с удобной навигацией позволяет быстро переходить между режимами сканирования, оптимизируя рабочий процесс;
  • Инструменты автоматизации снижают время, затрачиваемое на получение изображений, что особенно важно в условиях высокой нагрузки в клиниках.
Датчики
  • RIC5-9-D — внутриполостной объёмный микроконвексный датчик;
  • M5SC-D — секторный фазированный датчик;
  • IC5-9-D — внутриполостной датчик;
  • 6s-D — секторный фазированный датчик.
Принадлежности
  • Цветной ЖК OLED монитор 22" с высоким разрешением, контрастностью и качественной цветопередачей;
  • Цветной емкостной сенсорный экран с диагональю свыше 12 дюймов — высокочувствительный тактильный пользовательский интерфейс с поддержкой навигации по меню жестами;
  • 4 активных порта для датчиков;
  • Встроенный жесткий диск объемом 500 ГБ;
  • Пишущий дисковод DVD+/-R(W).
Опции
  • Высокочувствительный допплер (HD-Flow);
  • Постоянно-волновой допплер (CWD);
  • Реалистичный объёмный кровоток в режиме ЦДК (Radiantflow);
  • Режим увеличенного разрешения и дифференциации тканей (HDres);
  • Панорамное сканирование (XTD View);
  • Многолучевое сложносоставное сканирование (CRI);
  • Органоспецифичный режим подавления артефактов (SRI);
  • Программа объемной визуализации плода с классическим HD-Live и расширенными пакетами Hdlive Silhouette и Studio;
  • HDlive Flow — перемещаемый источник света, совместимый с визуализацией кровотока в 3D;
  • HDlive Silhouette — режим «Силуэт» с подчеркиванием границ тканей и объектов, «объем в объеме»;
  • HDlive Studio — три независимых источника освещения с регулировкой интенсивности;
  • Программа 3D и режим инверсии;
  • Кодированная посылка импульса (Coded Excitation - CE);
  • Многофокусная обработка сигнала (Focus Frequency Composite - FFC);
  • Программы расчетов и отчетов;
  • Недопплеровская визуализация кровотока в B-режиме (B-Flow);
  • ScanAssistant — помощник сканирования, автоматизирующий повторяющиеся операции и протоколы исследования;
  • Автоматический расчет толщины воротникового пространства (SonoNT) и размера IV желудочка (SonoIT);
  • Автоматическое измерение основных фетометрических показателей;
  • Автоматическое определение плода в режиме 3D — система автоматически определяет границы конечностей и лица плода и выстраивает объемное изображение;
  • RePro — воссоздание условий сканирования для динамического наблюдения за пациентом.
  • Advanced 4D — расширенный пакет 4D для механических объемных датчиков, включает режим 4D для трехмерного сканирования в реальном масштабе времени, томографический ультразвук, объемное; контрастирование прямой плоскости, активацию SonoRenderLive в 4D
  • Advanced VCI - Volume Contrast Imaging — расширенный программный пакет объемного контрастного изображения, включает проведение любой произвольной плоскости в 3D/4D, объемное контрастирование любой произвольной плоскости, регулировку толщины и формы коронарного среза в 3D/4D;
  • Advanced STIC — расширенный программный пакет для исследования сердца плода в режиме 4D, включает использование цветного, энергетического допплера, сочетание с М-режимом, перемещаемый источник света, программу SonoVCADHeart для исследования сердца плода в режиме 3D/4D;
  • V-SRI — программа Volume-SRI для снижения количества артефактов при формировании объемного изображения;
  • VOLUME CALCULATION II (VOCAL) — программное обеспечение Virtual Organ Computer Aided Analysis для полуавтоматического определения контуров структур и расчета их объема в режиме объемной реконструкции;
  • SonoAVC - Sono Automated Volume Count — программа для автоматического расчета размеров и объема анэхогенных образований/структур в режиме объемной реконструкции;
  • SonoVCAD labor — программное обеспечение для исследования во втором периоде родов;
  • 4DView 18 — программное обеспечение для анализа и обработки полученных трехмерных и четырехмерных данных для второй рабочей станции, включает электронное руководство пользователя для 4DView.
Изображения
Характеристики
Страна производства
Китай
Бренд
General Electric
Класс аппарата
Экспертный класс
Область применения
Универсальные, Кардиологические, Гинекологические, Педиатрические, 3D/4D акушерство
С этим товаром также покупают

Наши услуги

Монтаж и ввод в эксплуатацию
Монтаж и ввод в эксплуатацию
Оказываем весь спектр работ по монтажу и вводу в эксплуатацию, включая: инсталляцию, обучение врачей, настройку функционала УЗИ-аппарата и периферийного оборудования.
Техническое обслуживание
Техническое обслуживание
Производим диагностику и профилактическую чистку УЗИ-оборудования, а также комплексную программу технического обслуживания аппаратов и датчиков, общую настройку и обновление ПО.
Ремонт и восстановление
Ремонт и восстановление
Производим диагностику и ремонт УЗИ-аппаратов, датчиков и периферийного оборудования даже при нестандартных, сложных случаях.
Дистанционная техническая поддержка
Дистанционная техническая поддержка
Предлагаем услугу горячей линии — это удаленная техническая поддержка. В рамках данной услуги возможна диагностика и решение типовых проблемных случаев по телефону, в том числе по видеозвонку.
Апробация
Апробация
Предоставляем демонстрационную версию оборудования таких производителей, как Samsung, SonoScape, Mindray, General Electric, Canon (Toshiba) и Philips, что позволяет на практике оценить интересующую вас продукцию.