Медицинское оборудование и сервисное обслуживание
УЗИ аппарат General Electric Voluson E8
УЗИ аппарат General Electric Voluson E8
General Electric
General Electric
УЗИ аппарат General Electric Voluson E8
УЗИ аппарат General Electric Voluson E8
УЗИ аппарат General Electric Voluson E8УЗИ аппарат General Electric Voluson E8
Характеристики
Бренд
General Electric
Тип
Стационарный
Класс аппарата
Премиум класс
Все характеристики
Стационарный УЗИ-аппарат премиум класса
Все описание
0
В наличии
В корзине
Бесплатная доставка даже в самые крайние точки России
Гибкие условия оплаты (trade-in, рассрочка, лизинг)
Монтаж и ввод в эксплуатацию оборудования «под ключ»
Гарантия на оборудование до 3-х лет
Обзор

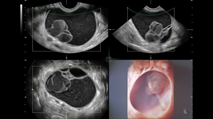
Voluson E8 – это современный ультразвуковой аппарат, который станет вашим незаменимым помощником в решении задач диагностики благодаря сочетанию передовых технологий, высокой производительности и удобства в использовании. Система обеспечивает исключительное качество визуализации, позволяя точно и быстро выявлять патологии на любых стадиях, а интуитивно понятный интерфейс и автоматизация рабочих процессов значительно упрощают работу врачей даже в условиях высокой нагрузки.

Эффективность и надежность для интенсивной работы

Экспертная ультразвуковая система нового поколения Voluson E8 предназначена для работы в условиях высокой нагрузки. Аппарат сочетает в себе передовые технологии визуализации и невероятную производительность, что позволяет проводить широкий спектр исследований — от рутинного сканирования до сложной диагностики.

  • Высокая скорость обработки данных благодаря мощному процессору.
  • Исключительное качество изображения за счет усовершенствованного формирователя луча.
  • Инновационные инструменты для 3D/4D исследований и цветового допплера.

Четкость и детализация

  • Потрясающая визуализация в любом режиме — от 2D до 3D/4D.
  • Инновационная архитектура избавляет от необходимости долгой настройки параметров.
  • Технология HDlive с функциями Silhouette и Flow предоставляет невероятно реалистичные изображения для диагностики.
Датчики
  • RAB6-D — объёмный конвексный датчик;
  • S4-10-D — секторный фазированный датчик;
  • C1-6-D — конвексный датчик;
  • RIC5-9-D — внутриполостной объёмный микроконвексный датчик;
  • ML6-15-D — линейный датчик с матричной решёткой;
  • M5SC-D — секторный фазированный датчик;
  • C2-9-D — конвексный монокристальный датчик;
  • 11L-D — линейный датчик;
  • RAB4-8-D — объёмный конвексный датчик;
  • C1-5-D — конвексный датчик;
  • IC5-9-D — внутриполостной датчик.
Принадлежности
  • 4 активных порта для датчиков;
  • ЖК-монитор 23" высокого разрешения с построчной разверткой;
  • Цветной емкостной сенсорный экран с диагональю 12";
  • Встроенный жесткий диск 500 ГБ;
  • Пишущий дисковод DVD+/-R(W).
Опции
  • Система управления данными пациентов;
  • Программируемые пользователем готовые наборы параметров настройки;
  • Автоматическая оптимизация изображения во всех режимах сканирования (ATO);
  • Тканевой допплер;
  • Высокочувствительный допплер (HD-Flow);
  • Постоянно-волновой допплер (CWD);
  • Панорамное сканирование (XTD View);
  • Многолучевое сложносоставное сканирование (CRI);
  • Органоспецифичный режим подавления артефактов (SRI);
  • Программа 3D и режим инверсии (при наличии специализированных датчиков);
  • Программа объемной визуализации плода;
  • HDlive Flow — перемещаемый источник света, совместимый с визуализацией кровотока в 3D;
  • HDlive Silhouette — режим «Силуэт» с подчеркиванием границ тканей и объектов («объем в объеме»);
  • HDlive Flow Silhouette — режим «Силуэт» с выделением границ полостей сердца и сосудов, совместимый с визуализацией кровотока;
  • Кодированная посылка импульса (Coded Excitation — CE);
  • Многофокусная обработка сигнала (Focus Frequency Composite — FFC);
  • Программы расчетов и отчетов;
  • Недопплеровская визуализация кровотока в B-режиме (B-Flow);
  • ScanAssistant — помощник сканирования, автоматизирующий повторяющиеся операции и протоколы исследования;
  • Автоматический расчет толщины воротникового пространства (SonoNT) и размера IV желудочка (SonoIT);
  • Автоматическое измерение основных фетометрических показателей (SonoBiometry): БПР, ОГ, ОЖ, ДБ, ДП;
  • Автоматическое определение плода в режиме 3D (SonoRenderLive) — система автоматически определяет границы конечностей и лица плода, устраняет артефакты и формирует объемное изображение, экономя время;
  • RePro — воссоздание условий сканирования для динамического наблюдения за пациентом, включая автоматическую загрузку настроек и подключение необходимого датчика;
  • Поддержка стандарта DICOM.
Изображения
Характеристики
Бренд
General Electric
Тип
Стационарный
Класс аппарата
Премиум класс
Область применения
Гинекологические, 3D/4D акушерство
С этим товаром также покупают

Наши услуги

Монтаж и ввод в эксплуатацию
Монтаж и ввод в эксплуатацию
Оказываем весь спектр работ по монтажу и вводу в эксплуатацию, включая: инсталляцию, обучение врачей, настройку функционала УЗИ-аппарата и периферийного оборудования.
Техническое обслуживание
Техническое обслуживание
Производим диагностику и профилактическую чистку УЗИ-оборудования, а также комплексную программу технического обслуживания аппаратов и датчиков, общую настройку и обновление ПО.
Ремонт и восстановление
Ремонт и восстановление
Производим диагностику и ремонт УЗИ-аппаратов, датчиков и периферийного оборудования даже при нестандартных, сложных случаях.
Дистанционная техническая поддержка
Дистанционная техническая поддержка
Предлагаем услугу горячей линии — это удаленная техническая поддержка. В рамках данной услуги возможна диагностика и решение типовых проблемных случаев по телефону, в том числе по видеозвонку.
Апробация
Апробация
Предоставляем демонстрационную версию оборудования таких производителей, как Samsung, SonoScape, Mindray, General Electric, Canon (Toshiba) и Philips, что позволяет на практике оценить интересующую вас продукцию.