Медицинское оборудование и сервисное обслуживание
УЗИ аппарат Mindray DC-30
УЗИ аппарат Mindray DC-30
Mindray
Mindray
УЗИ аппарат Mindray DC-30
УЗИ аппарат Mindray DC-30
УЗИ аппарат Mindray DC-30УЗИ аппарат Mindray DC-30
Характеристики
Страна производства
Китай
Бренд
Mindray
Тип
Стационарный
Класс аппарата
Средний класс
Все характеристики
Стационарный ультразвуковой сканер среднего класса
Все описание
0
Снят с производства
В корзине
Бесплатная доставка даже в самые крайние точки России
Гибкие условия оплаты (trade-in, рассрочка, лизинг)
Монтаж и ввод в эксплуатацию оборудования «под ключ»
Гарантия на оборудование до 3-х лет
Обзор

УЗИ-аппарат Mindray DC-30 — это современная система для ультразвуковой диагностики, сочетающая в себе высокое качество визуализации, функциональность и доступную цену. Аппарат предназначен для выполнения широкого спектра медицинских исследований, таких как абдоминальные, кардиологические, акушерско-гинекологические, сосудистые и урологические исследования. Mindray DC-30 предлагает инновационные технологии и интуитивно понятный интерфейс, что делает его идеальным для повседневного использования в клиниках и диагностических центрах.

Преимущества

  • Высокое качество изображения;
  • Разнообразие режимов сканирования;
  • Автоматическая оптимизация iTouch™;
  • Эргономичный и мобильный дизайн;
  • Интеграция с больничными системами;
  • База данных пациентов iStation™;
  • Широкий выбор датчиков.
Датчики
  • 35C50P — конвексный датчик;
  • 3C5P — конвексный датчик;
  • 6C2P — микроконвексный датчик;
  • D6-2P — конвексный датчик;
  • 75L38P — линейный датчик;
  • 7L4P— линейный датчик;
  • 7L5P — широкий линейный датчик;
  • 6VC1P — микроконвексный внутриполостной датчик;
  • 2P2P — секторный фазированный датчик.
Принадлежности
  • 1 ТБ жесткий диск;
  • DVD-R/W и USB-порты;
  • 3 разъёма для подключения датчиков;
  • CW — блок постоянно-волнового допплера;
  • 4D — блок объемного сканирования в реальном времени;
  • Монитор высокого разрешения с диагональю 17".
Опции
  • iClear™ — технология, подавляющая помехи и обеспечивающая получение чётких ультразвуковых изображений высокого разрешения для 2D-режима;
  • iBeam™ — режим многолучевого компаундинга;
  • iTouch™ — автоматическая оптимизация изображения;
  • iZoom™ — полноэкранный режим ультразвукового изображения;
  • iScanHelper — программное обеспечение со встроенной системой обучения с обширным материалом;
  • Raw Data — технология сохранения необработанных данных для дальнейшего исследования;
  • Shared Service Package — предустановленные параметры, аннотации, маркеры, программы измерений для абдоминальных исследований, акушерства, гинекологии, кардиологии, ангиологии, исследований малых органов, урологии, педиатрии и неотложной медицины;
  • ECG Module — панель ввода ЭКГ-сигналов с возможностью подключения внешнего 12-канального ЭКГ-устройства;
  • iScape™ View — панорамное сканирование с отображением объектов большой протяженности, включая возможность проведения расчетов и измерений;
  • Auto IMT Package — измерение и анализ толщины комплекса интима-медии (КИМ) сонной артерии;
  • Natural Touch Elastography — опция оценки эластичности ткани (эластография);
  • UWN Contrast Imaging™ — опция для проведения обследования с применением контрастных веществ;
  • Smart 3D™ — получение трёхмерного (3D) ультразвукового изображения методом «свободной руки» без использования объёмных датчиков;
  • Free Xros M™ — анатомический М-режим, позволяющий вращать курсор в М-режиме под произвольным углом при фиксированном положении датчика и получать график движения структур сердца в различных плоскостях;
  • TDI (Tissue Doppler Imaging) — пакет тканевой допплерографии, включающий цветное картирование, импульсный тканевой допплер, энергетический тканевой допплер и тканевой М-режим.
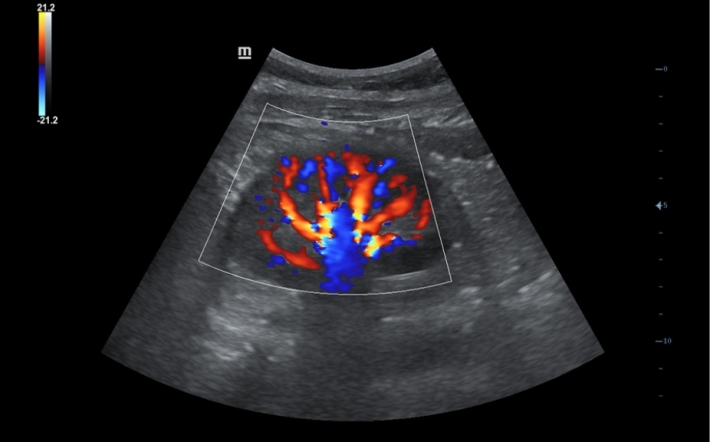
Изображения
Характеристики
Страна производства
Китай
Бренд
Mindray
Тип
Стационарный
Класс аппарата
Средний класс
Область применения
Универсальные, Кардиологические, Гинекологические, Педиатрические, 3D/4D акушерство
С этим товаром также покупают

Наши услуги

Монтаж и ввод в эксплуатацию
Монтаж и ввод в эксплуатацию
Оказываем весь спектр работ по монтажу и вводу в эксплуатацию, включая: инсталляцию, обучение врачей, настройку функционала УЗИ-аппарата и периферийного оборудования.
Техническое обслуживание
Техническое обслуживание
Производим диагностику и профилактическую чистку УЗИ-оборудования, а также комплексную программу технического обслуживания аппаратов и датчиков, общую настройку и обновление ПО.
Ремонт и восстановление
Ремонт и восстановление
Производим диагностику и ремонт УЗИ-аппаратов, датчиков и периферийного оборудования даже при нестандартных, сложных случаях.
Дистанционная техническая поддержка
Дистанционная техническая поддержка
Предлагаем услугу горячей линии — это удаленная техническая поддержка. В рамках данной услуги возможна диагностика и решение типовых проблемных случаев по телефону, в том числе по видеозвонку.
Апробация
Апробация
Предоставляем демонстрационную версию оборудования таких производителей, как Samsung, SonoScape, Mindray, General Electric, Canon (Toshiba) и Philips, что позволяет на практике оценить интересующую вас продукцию.