Медицинское оборудование и сервисное обслуживание
УЗИ аппарат Mindray DC-N3
УЗИ аппарат Mindray DC-N3
Mindray
Mindray
УЗИ аппарат Mindray DC-N3
УЗИ аппарат Mindray DC-N3
УЗИ аппарат Mindray DC-N3УЗИ аппарат Mindray DC-N3
Характеристики
Страна производства
Китай
Бренд
Mindray
Тип
Стационарный
Класс аппарата
Средний класс
Все характеристики
Стационарный ультразвуковой сканер среднего класса
Все описание
0
Снят с производства
В корзине
Бесплатная доставка даже в самые крайние точки России
Гибкие условия оплаты (trade-in, рассрочка, лизинг)
Монтаж и ввод в эксплуатацию оборудования «под ключ»
Гарантия на оборудование до 3-х лет
Обзор

УЗИ-сканер DC-N3 — это оптимальное сочетание качества, универсальности и доступности, предлагающее передовые возможности для проведения диагностических исследований. Этот аппарат переопределяет основы ультразвуковой диагностики, предоставляя лучшую в своем классе функциональность и эффективность по разумной цене.

Ключевые преимущества

  • Технологии улучшенной визуализации обеспечивают более четкие края и контуры, что способствует точной диагностике;
  • Плавное и однородное отображение тканей позволяет врачу лучше оценивать состояние органов и структур;
  • Уменьшение зернистости и артефактов в областях без эхосигнала улучшает точность диагностики и качество изображения.

УЗИ-сканер DC-N3 — это надежное решение для клиник и диагностических центров, которое сочетает передовые технологии и доступность, обеспечивая комфортную и качественную диагностику.

Датчики
  • 3C5A — конвексный датчик;
  • 6C2 — микроконвексный педиатрический датчик;
  • 7L4A — линейный датчик;
  • L12-3E — высокоплотный линейный датчик;
  • L14-6NE — высокочастотный высокоплотный линейный датчик;
  • L14-6 — высокочастотный линейный датчик;
  • 7L5 — линейный датчик с широкой апертурой;
  • L7-3 — низкочастотный линейный датчик;
  • V11-3 — микроконвексный внутриполостной датчик;
  • V10-4B — микроконвексный внутриполостной датчик;
  • P4-2 — секторный фазированный датчик;
  • P7-3 — секторный фазированный педиатрический датчик;
  • D7-2E — специализированный конвексный датчик для объемного сканирования в реальном времени;
  • CB10-4E — эндоректальный биплановый датчик;
  • CW5s — датчик для обследования сосудов в режиме спектрального допплера.
Принадлежности
  • 1000 Гб жесткий диск;
  • DVD-R/W;
  • 5 USB портов;
  • 3 активных порта;
  • Панель управления с регулировкой по высоте и повороту;
  • Цветной монитор 17 дюймов.


    Опции
    • Пакеты клинических программ для специализированных измерений и вычислений (для всех типов датчиков);
    • B/M/CFM/PDI/направленный PDI/PW, М- и цветной М-режим;
    • IMT — автоматический расчет толщины комплекса интима-медиа;
    • DICOM: сохранение на сервер, печать, загрузка списка задач с DICOM-сервера, структурированные отчеты (кардиология, ангиология, акушерство и гинекология);
    • Auto IMT — программа для автоматического измерения толщины комплекса интима-медиа;
    • Smart OB™ — программа для автоматического измерения биометрии плода в акушерстве (BPD, FL, HC, AC и OFD);
    • TDI — тканевой допплер (TVI, TEI, TVD и TVM);
    • iScape™ View — панорамное сканирование;
    • Free Xros M™ — анатомический М-режим;
    • Free Xros CM™ — криволинейный анатомический М-режим (необходима опция TDI);
    • TDI — программа количественного анализа в режиме тканевого допплера (необходима опция TDI);
    • Smart NT — автоматическое измерение толщины воротникового пространства у плода;
    • Smart Bladder — автоматическое оконтуривание мочевого пузыря и расчет его объема;
    • UWN Contrast Imaging™ — исследования с контрастными веществами (поддерживается на датчике 3C5А);
    • Natural Touch Elastography — компрессионная эластография для оценки эластичности ткани (поддерживается на датчике 7L4A);
    • транскраниальный доплер;
    • направленный энергетический доплер;
    • HPRF, тканевая гармоника;
    • FCI — многочастотное сложносоставное сканирование;
    • триплексный режим;
    • iBeam™ — пространственное составное изображение для линейного датчика;
    • iClear™ — снижение зернистости, улучшение детализации и контрастного разрешения;
    • THI и PSI — поддержка тканевой гармоники с инверсией фазы на всех датчиках;
    • функция трапециевидного изображения для линейного датчика;
    • iTouch™ — автоматическая оптимизация изображения одним нажатием;
    • iScanHelper™ — встроенное обучающее ПО;
    • ExFOV™ — расширенное поле обзора для конвексных, линейных и объемных датчиков.
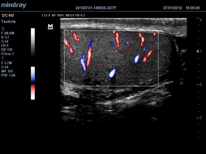
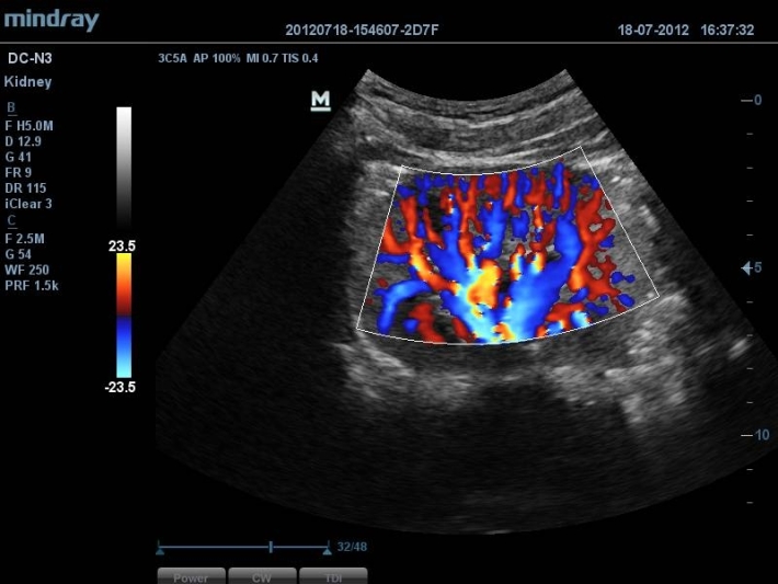
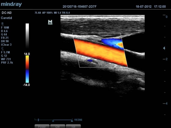
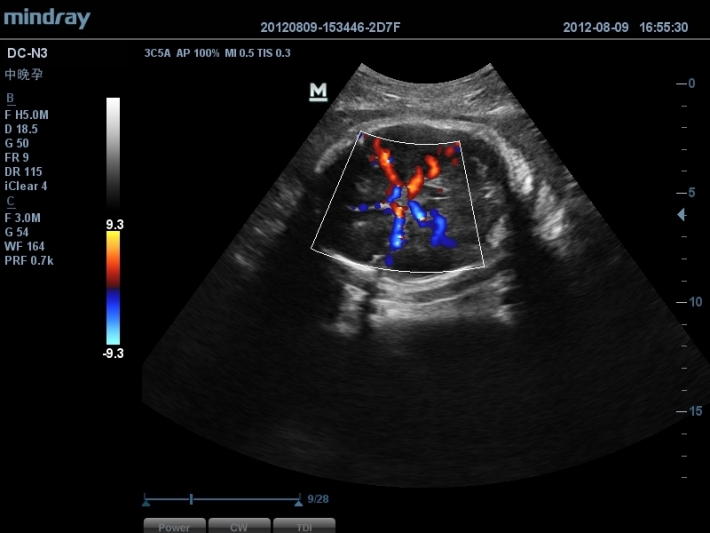
    Изображения
    Характеристики
    Страна производства
    Китай
    Бренд
    Mindray
    Тип
    Стационарный
    Класс аппарата
    Средний класс
    Область применения
    Универсальные, Кардиологические, Гинекологические, Педиатрические, 3D/4D акушерство
    С этим товаром также покупают

    Наши услуги

    Монтаж и ввод в эксплуатацию
    Монтаж и ввод в эксплуатацию
    Оказываем весь спектр работ по монтажу и вводу в эксплуатацию, включая: инсталляцию, обучение врачей, настройку функционала УЗИ-аппарата и периферийного оборудования.
    Техническое обслуживание
    Техническое обслуживание
    Производим диагностику и профилактическую чистку УЗИ-оборудования, а также комплексную программу технического обслуживания аппаратов и датчиков, общую настройку и обновление ПО.
    Ремонт и восстановление
    Ремонт и восстановление
    Производим диагностику и ремонт УЗИ-аппаратов, датчиков и периферийного оборудования даже при нестандартных, сложных случаях.
    Дистанционная техническая поддержка
    Дистанционная техническая поддержка
    Предлагаем услугу горячей линии — это удаленная техническая поддержка. В рамках данной услуги возможна диагностика и решение типовых проблемных случаев по телефону, в том числе по видеозвонку.
    Апробация
    Апробация
    Предоставляем демонстрационную версию оборудования таких производителей, как Samsung, SonoScape, Mindray, General Electric, Canon (Toshiba) и Philips, что позволяет на практике оценить интересующую вас продукцию.