Медицинское оборудование и сервисное обслуживание
00RUB
УЗИ аппарат Mindray DC-28
УЗИ аппарат Mindray DC-28
Mindray
Mindray
УЗИ аппарат Mindray DC-28
УЗИ аппарат Mindray DC-28
УЗИ аппарат Mindray DC-28УЗИ аппарат Mindray DC-28
Выберите артикул:
Характеристики
Страна производства
Китай
Бренд
Mindray
Тип
Стационарный
Класс аппарата
Средний класс
Все характеристики
Стационарный ультразвуковой сканер среднего класса
Все описание
0
1Снят с производства
В корзине
Бесплатная доставка даже в самые крайние точки России
Гибкие условия оплаты (trade-in, рассрочка, лизинг)
Монтаж и ввод в эксплуатацию оборудования «под ключ»
Гарантия на оборудование до 3-х лет
Обзор

УЗИ-аппарат Mindray DC-28 — это высокоэффективная система среднего класса, которая сочетает в себе современные технологии визуализации, удобство эксплуатации и широкие диагностические возможности. Этот аппарат разработан для использования в различных медицинских областях, таких как кардиология, акушерство и гинекология, абдоминальные, сосудистые исследования и многое другое.

Эргономика

  • Светодиодный монитор размером 15 х 17 дюймов с удобной ручкой;
  • Регулируемая по высоте панель управления;
  • Привод CD/DVD-RW и USB-порты;
  • Съёмный держатель датчика;
  • Встроенная батарея для гибкого сканирования;
  • Три разъёма для подключения датчиков.
Датчики
  • 35C50P — конвексный датчик;
  • 3C5P — конвексный датчик;
  • 6C2P — микроконвексный педиатрический датчик;
  • 75L38P — линейный датчик;
  • 7L4P — линейный датчик;
  • 7L5P — линейный датчик;
  • 6CV1P — микроконвексный внутриполостной датчик;
  • 2P2P — секторный фазированный датчик.
Принадлежности
  • Needle-guide bracket for Convex transducer NGB-015 — многоразовая (металлическая) биопсийная насадка для датчика C5-2s;
  • Needle-guide bracket for Micro-convex transducer NGB-005 — многоразовая (металлическая) биопсийная насадка для датчика 6C2s;
  • Needle-guide bracket for Linear transducers NGB-007 — многоразовая (металлическая) биопсийная насадка для датчиков 7L4s, 7L5s, L14-6Ns, L12-4s, L7-3s;
  • Needle-guide brackets for Linear transducers NGB-007 — одноразовая (пластиковая) биопсийная насадка для датчиков 7L4s, 7L5s, L14-6Ns, L12-4s, L7-3s;
  • Needle-guided bracket for endorectal bi-plane transducer NGB-009 — многоразовая (металлическая) биопсийная насадка для датчика 6LB7s;
  • Needle-guide bracket for Linear transducer NGB-016 — многоразовая (металлическая) биопсийная насадка для датчика L14-6s;
  • Needle-guide bracket for Linear transducer NGB-010 — многоразовая (металлическая) биопсийная насадка для датчика 7LT4s;
  • Needle-guide bracket for Endocavity transducers NGB-004 — многоразовая (металлическая) биопсийная насадка для датчиков V10-4s, V10-4Bs;
  • Needle-guide bracket for Phased array transducer NGB-011 — многоразовая (металлическая) биопсийная насадка для датчика P4-2s;
  • Battery — дополнительная аккумуляторная батарея;
  • Add. Display — внешний монитор 15" для тележки UMT-300, требуется IOM-21;
  • VAM-11 — модуль вывода аудио/видео сигналов;
  • ECG — модуль ЭКГ (IEC) (необходим модуль IOM-21);
  • IOM-21 — блок портов (док-станция) для ввода/вывода сигналов: USB, ECG, COM, аудио, микрофон, пульт управления, композитное видео, DVI-I;
  • Int. DVD-RW — DVD-рекордер для тележки UMT-300;
  • PEM-21 — разветвитель на три порта для датчиков для сканера M7 и тележки UMT-300 (при подключении датчиков 4CD4s и P7-3Ts необходим блок питания для периферийных устройств);
  • PEM-21 — разветвитель на три порта для датчиков для сканера M7 и тележки UMT-200 (без возможности подключения 4D и TEE датчиков);
  • Power Supply for UMT-300 — блок питания для периферийных устройств (принтер, DVD-рекордер, внешний монитор, разветвитель для датчиков) для тележки UMT-300;
  • UMT-300 — эргономичная мобильная тележка с регулировкой по высоте. В случае установки периферии (принтер, DVD, доп. монитор) необходима установка блока питания;
  • UMT-200 — мобильная тележка UMT-200;
  • Footswitch, 2 keys — водонепроницаемый ножной переключатель, двухклавишный (USB).
  • M-Scan Pack — набор ремней для сканирования стоя;
  • Backpack — сумка (рюкзак) для переноски.
Опции
  • IMT — программное обеспечение для автоматического измерения толщины комплекса интима-медиа (с программой анализа);
  • Free Xros M — anatomical M mode;
  • Free Xros — анатомический М-режим;
  • Free Xros CM — curved anatomical M-mode (TDI is required);
  • криволинейный (огибающий) анатомический М-режим (требуется установленная опция TDI);
  • TDI — тканевой допплер, включая цветное картирование, импульсный тканевой допплер, энергетический тканевой допплер и тканевой М-режим;
  • TDI QA — программное обеспечение для количественного анализа в режиме тканевого допплера (требуется установленная опция TDI);
  • Stress Echo — программное обеспечение для проведения и оценки результатов стресс-эхокардиографии (рекомендуется модуль ЭКГ);
  • iScape — панорамное сканирование;
  • Smart 3D — трехмерная реконструкция методом "свободной руки";
  • iNeedle — программное обеспечение для улучшения визуализации биопсийной иглы 7L4s, L14-6s, L14-6Ns, L12-4s;
  • IMT — carotid intima-media thickness measurement and analysis; программное обеспечение для автоматического измерения толщины комплекса интима-медиа (с программой анализа);
  • DICOM Basic — базовый набор опций DICOM: сохранение на сервер и медиа-носители, печать;
  • DICOM Worklist — опция загрузки списка задач с DICOM-сервера;
  • MPPS — опция DICOM, позволяющая загружать на сервер дополнительную информацию об условиях проведения обследования;
  • Query/Retrieve — запрос и получение данных пациента и изображений с сервера;
  • Structured report — структурированный отчет по кардиологии в формате DICOM;
  • Structured report — структурированный отчет по ангиологии в формате DICOM;
  • Structured report — структурированный отчет по акушерству и гинекологии в формате DICOM.
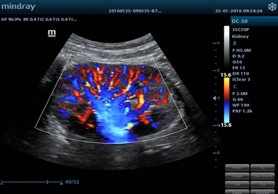
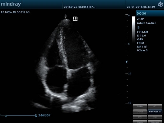
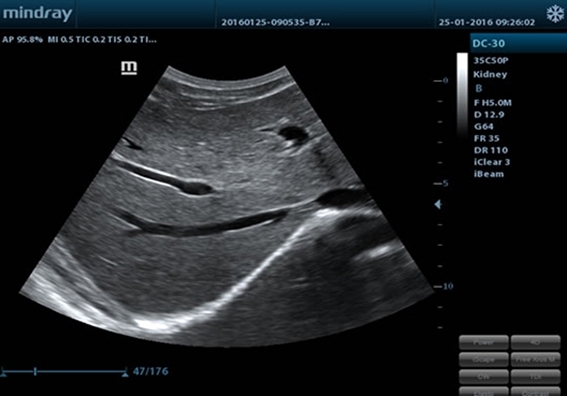
Изображения
Характеристики
Страна производства
Китай
Бренд
Mindray
Тип
Стационарный
Класс аппарата
Средний класс
С этим товаром также покупают

Наши услуги

Монтаж и ввод в эксплуатацию
Монтаж и ввод в эксплуатацию
Оказываем весь спектр работ по монтажу и вводу в эксплуатацию, включая: инсталляцию, обучение врачей, настройку функционала УЗИ-аппарата и периферийного оборудования.
Техническое обслуживание
Техническое обслуживание
Производим диагностику и профилактическую чистку УЗИ-оборудования, а также комплексную программу технического обслуживания аппаратов и датчиков, общую настройку и обновление ПО.
Ремонт и восстановление
Ремонт и восстановление
Производим диагностику и ремонт УЗИ-аппаратов, датчиков и периферийного оборудования даже при нестандартных, сложных случаях.
Дистанционная техническая поддержка
Дистанционная техническая поддержка
Предлагаем услугу горячей линии — это удаленная техническая поддержка. В рамках данной услуги возможна диагностика и решение типовых проблемных случаев по телефону, в том числе по видеозвонку.
Апробация
Апробация
Предоставляем демонстрационную версию оборудования таких производителей, как Samsung, SonoScape, Mindray, General Electric, Canon (Toshiba) и Philips, что позволяет на практике оценить интересующую вас продукцию.